支持7-11 全家超商取貨 貨到付款









編輯推薦:
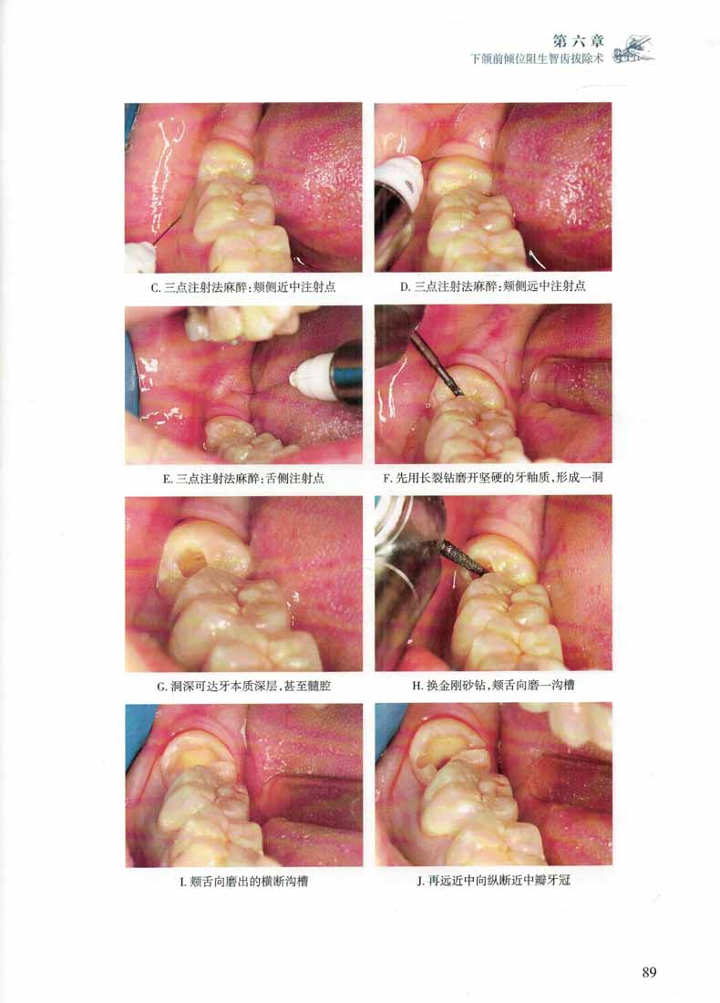
本書是筆者多年來應用渦輪鑽法拔除阻生智齒的臨床資料的總結,以病例圖片為主,配以文字和示意圖說明。
全書共分13個章,以圖解形式介紹了臨床上常用的阻生智齒分類方法,闡述了其應遵循的基本原則,並敘述了複雜阻生智齒鑽拔法臨床操作步驟、術中可能遇到的難點的處理方法以及術中、術後並發症的預防和處理。第13章還特別介紹了自體智齒移植術。本版在上版基礎上增加23例不同類型阻生智齒拔除術視頻,以更加生動的形式展現渦輪鑽法拔除阻生智齒。本書獻給熱愛牙槽外科、對阻生智齒拔除術感興趣的您。
內容簡介:
本書由北京協和醫院羅順雲教授主編。全書共13章,35萬字。
本書一改傳統翻瓣鑿骨法拔除阻生智齒的手術思路,基於作者數十年拔除智齒的臨床經驗提出了渦輪鑽法拔除阻生智齒的手術思路,即:以潛鑽法先分牙、多分牙,以三角切齦代替翻瓣或小翻瓣,少去骨、不去骨或不首先去骨的地拔除阻生智齒。較之傳統方法,不僅降低了術者的操作難度,也在很大程度上減少了患者拔牙後的創傷及並發症。對相關臨床工作者有很大的實際指導意義。書中詳細闡述了應用該法拔除各類阻生智齒的具體步驟。本版不僅延續上版特色附大量精美圖片,圖文並茂,且在上版基礎上新增23個高清拔牙手術視頻,紙數融合,讀者可通過掃描二維碼形式輕鬆觀看。力求為廣大口腔醫師提供一冊專業 、內容實用、易讀易學的參考書。
作者簡介:
羅順雲
男,主任醫師,1975年畢業於原華西醫科大學口腔醫學院。畢業後一直在北京協和醫院口腔科工作。
主要從事口腔牙槽外科臨床常見病及多發病的醫、教、研工作。從事牙槽外科30餘年,擅長各種複雜牙、埋伏牙及阻生智齒拔除術、頜骨囊腫切除術及牙外科正畸美容術等,尤其是應用渦輪鑽拔除阻生智齒,迄今已有上萬例渦輪鑽拔除阻生智齒的臨床經驗,該法使患者拔牙時免受錘震之苦,受到全國各地許多曾用此方法拔除過智齒的患者的好評和信賴,同時也受到口腔科同行的認可。
在長期臨床實踐的基礎上,他研究總結了一套具有微創效果的阻生智齒拔除方法,主編出版了《複雜阻生智齒拔除術--渦輪鑽法技巧》教學光盤,在該領域內先後多次獲得北京辦和醫院及中國醫學科學院醫療成果獎,發表文意30餘篇,參與編寫了(口腔科醫療操作常規》中“牙槽外科”章節。
目錄:





前言:



新竹謝**[0933***465]
15分鐘前阻生智齒拔除術視頻圖譜--渦輪鑽法(第2版/配增值) - 阻生智齒拔除術視頻圖譜--渦輪鑽法(第2版/配增值)
基隆張**[0938***670]
5分鐘前阻生智齒拔除術視頻圖譜--渦輪鑽法(第2版/配增值) - 阻生智齒拔除術視頻圖譜--渦輪鑽法(第2版/配增值)
臺南仲**[0986***928]
12分鐘前阻生智齒拔除術視頻圖譜--渦輪鑽法(第2版/配增值) - 阻生智齒拔除術視頻圖譜--渦輪鑽法(第2版/配增值)
新竹陳**[0960***616]
25分鐘前阻生智齒拔除術視頻圖譜--渦輪鑽法(第2版/配增值) - 阻生智齒拔除術視頻圖譜--渦輪鑽法(第2版/配增值)
高雄謝**[0920***457]
2分鐘前阻生智齒拔除術視頻圖譜--渦輪鑽法(第2版/配增值) - 阻生智齒拔除術視頻圖譜--渦輪鑽法(第2版/配增值)
臺南朱**[0978***399]
15分鐘前阻生智齒拔除術視頻圖譜--渦輪鑽法(第2版/配增值) - 阻生智齒拔除術視頻圖譜--渦輪鑽法(第2版/配增值)
新北李**[0932***252]
7分鐘前阻生智齒拔除術視頻圖譜--渦輪鑽法(第2版/配增值) - 阻生智齒拔除術視頻圖譜--渦輪鑽法(第2版/配增值)
基隆趙**[0986***977]
20分鐘前阻生智齒拔除術視頻圖譜--渦輪鑽法(第2版/配增值) - 阻生智齒拔除術視頻圖譜--渦輪鑽法(第2版/配增值)
臺中符**[0951***472]
15分鐘前阻生智齒拔除術視頻圖譜--渦輪鑽法(第2版/配增值) - 阻生智齒拔除術視頻圖譜--渦輪鑽法(第2版/配增值)
桃園符**[0998***863]
12分鐘前阻生智齒拔除術視頻圖譜--渦輪鑽法(第2版/配增值) - 阻生智齒拔除術視頻圖譜--渦輪鑽法(第2版/配增值)
臺南鍾**[0920***994]
2分鐘前阻生智齒拔除術視頻圖譜--渦輪鑽法(第2版/配增值) - 阻生智齒拔除術視頻圖譜--渦輪鑽法(第2版/配增值)
新竹黃**[0938***632]
20分鐘前阻生智齒拔除術視頻圖譜--渦輪鑽法(第2版/配增值) - 阻生智齒拔除術視頻圖譜--渦輪鑽法(第2版/配增值)
新北趙**[0938***520]
11分鐘前阻生智齒拔除術視頻圖譜--渦輪鑽法(第2版/配增值) - 阻生智齒拔除術視頻圖譜--渦輪鑽法(第2版/配增值)
新竹錢**[0978***633]
25分鐘前阻生智齒拔除術視頻圖譜--渦輪鑽法(第2版/配增值) - 阻生智齒拔除術視頻圖譜--渦輪鑽法(第2版/配增值)
新北劉**[0918***847]
20分鐘前阻生智齒拔除術視頻圖譜--渦輪鑽法(第2版/配增值) - 阻生智齒拔除術視頻圖譜--渦輪鑽法(第2版/配增值)
新北柳**[0966***856]
20分鐘前阻生智齒拔除術視頻圖譜--渦輪鑽法(第2版/配增值) - 阻生智齒拔除術視頻圖譜--渦輪鑽法(第2版/配增值)
高雄黃**[0998***342]
12分鐘前阻生智齒拔除術視頻圖譜--渦輪鑽法(第2版/配增值) - 阻生智齒拔除術視頻圖譜--渦輪鑽法(第2版/配增值)
臺中謝**[0918***668]
12分鐘前阻生智齒拔除術視頻圖譜--渦輪鑽法(第2版/配增值) - 阻生智齒拔除術視頻圖譜--渦輪鑽法(第2版/配增值)
嘉義李**[0988***404]
5分鐘前阻生智齒拔除術視頻圖譜--渦輪鑽法(第2版/配增值) - 阻生智齒拔除術視頻圖譜--渦輪鑽法(第2版/配增值)
桃園張**[0932***727]
12分鐘前阻生智齒拔除術視頻圖譜--渦輪鑽法(第2版/配增值) - 阻生智齒拔除術視頻圖譜--渦輪鑽法(第2版/配增值)
新竹吳**[0918***581]
4分鐘前阻生智齒拔除術視頻圖譜--渦輪鑽法(第2版/配增值) - 阻生智齒拔除術視頻圖譜--渦輪鑽法(第2版/配增值)
新竹劉**[0951***378]
5分鐘前阻生智齒拔除術視頻圖譜--渦輪鑽法(第2版/配增值) - 阻生智齒拔除術視頻圖譜--渦輪鑽法(第2版/配增值)
高雄方**[0986***101]
7分鐘前阻生智齒拔除術視頻圖譜--渦輪鑽法(第2版/配增值) - 阻生智齒拔除術視頻圖譜--渦輪鑽法(第2版/配增值)
桃園柳**[0960***850]
2分鐘前阻生智齒拔除術視頻圖譜--渦輪鑽法(第2版/配增值) - 阻生智齒拔除術視頻圖譜--渦輪鑽法(第2版/配增值)
臺南方**[0933***971]
2分鐘前阻生智齒拔除術視頻圖譜--渦輪鑽法(第2版/配增值) - 阻生智齒拔除術視頻圖譜--渦輪鑽法(第2版/配增值)
新竹楊**[0946***376]
25分鐘前阻生智齒拔除術視頻圖譜--渦輪鑽法(第2版/配增值) - 阻生智齒拔除術視頻圖譜--渦輪鑽法(第2版/配增值)
臺南柳**[0998***134]
20分鐘前阻生智齒拔除術視頻圖譜--渦輪鑽法(第2版/配增值) - 阻生智齒拔除術視頻圖譜--渦輪鑽法(第2版/配增值)
基隆王**[0998***651]
11分鐘前阻生智齒拔除術視頻圖譜--渦輪鑽法(第2版/配增值) - 阻生智齒拔除術視頻圖譜--渦輪鑽法(第2版/配增值)
基隆劉**[0956***417]
12分鐘前阻生智齒拔除術視頻圖譜--渦輪鑽法(第2版/配增值) - 阻生智齒拔除術視頻圖譜--渦輪鑽法(第2版/配增值)
新竹周**[0933***370]
4分鐘前阻生智齒拔除術視頻圖譜--渦輪鑽法(第2版/配增值) - 阻生智齒拔除術視頻圖譜--渦輪鑽法(第2版/配增值)
新北黃**[0951***927]
20分鐘前阻生智齒拔除術視頻圖譜--渦輪鑽法(第2版/配增值) - 阻生智齒拔除術視頻圖譜--渦輪鑽法(第2版/配增值)
臺中周**[0932***200]
25分鐘前阻生智齒拔除術視頻圖譜--渦輪鑽法(第2版/配增值) - 阻生智齒拔除術視頻圖譜--渦輪鑽法(第2版/配增值)
基隆陳**[0968***358]
5分鐘前阻生智齒拔除術視頻圖譜--渦輪鑽法(第2版/配增值) - 阻生智齒拔除術視頻圖譜--渦輪鑽法(第2版/配增值)
臺南方**[0998***210]
7分鐘前阻生智齒拔除術視頻圖譜--渦輪鑽法(第2版/配增值) - 阻生智齒拔除術視頻圖譜--渦輪鑽法(第2版/配增值)
高雄鄭**[0960***168]
12分鐘前阻生智齒拔除術視頻圖譜--渦輪鑽法(第2版/配增值) - 阻生智齒拔除術視頻圖譜--渦輪鑽法(第2版/配增值)
高雄劉**[0933***294]
5分鐘前阻生智齒拔除術視頻圖譜--渦輪鑽法(第2版/配增值) - 阻生智齒拔除術視頻圖譜--渦輪鑽法(第2版/配增值)
桃園李**[0960***603]
15分鐘前阻生智齒拔除術視頻圖譜--渦輪鑽法(第2版/配增值) - 阻生智齒拔除術視頻圖譜--渦輪鑽法(第2版/配增值)
新竹吳**[0956***855]
4分鐘前阻生智齒拔除術視頻圖譜--渦輪鑽法(第2版/配增值) - 阻生智齒拔除術視頻圖譜--渦輪鑽法(第2版/配增值)
臺北劉**[0988***813]
4分鐘前阻生智齒拔除術視頻圖譜--渦輪鑽法(第2版/配增值) - 阻生智齒拔除術視頻圖譜--渦輪鑽法(第2版/配增值)
臺北趙**[0978***260]
20分鐘前阻生智齒拔除術視頻圖譜--渦輪鑽法(第2版/配增值) - 阻生智齒拔除術視頻圖譜--渦輪鑽法(第2版/配增值)
臺中符**[0932***211]
2分鐘前阻生智齒拔除術視頻圖譜--渦輪鑽法(第2版/配增值) - 阻生智齒拔除術視頻圖譜--渦輪鑽法(第2版/配增值)
臺南朱**[0946***753]
20分鐘前阻生智齒拔除術視頻圖譜--渦輪鑽法(第2版/配增值) - 阻生智齒拔除術視頻圖譜--渦輪鑽法(第2版/配增值)
嘉義仲**[0951***536]
7分鐘前阻生智齒拔除術視頻圖譜--渦輪鑽法(第2版/配增值) - 阻生智齒拔除術視頻圖譜--渦輪鑽法(第2版/配增值)
新北錢**[0978***110]
12分鐘前阻生智齒拔除術視頻圖譜--渦輪鑽法(第2版/配增值) - 阻生智齒拔除術視頻圖譜--渦輪鑽法(第2版/配增值)
基隆劉**[0932***566]
半小時前阻生智齒拔除術視頻圖譜--渦輪鑽法(第2版/配增值) - 阻生智齒拔除術視頻圖譜--渦輪鑽法(第2版/配增值)
桃園謝**[0932***314]
12分鐘前阻生智齒拔除術視頻圖譜--渦輪鑽法(第2版/配增值) - 阻生智齒拔除術視頻圖譜--渦輪鑽法(第2版/配增值)
高雄孫**[0966***946]
20分鐘前阻生智齒拔除術視頻圖譜--渦輪鑽法(第2版/配增值) - 阻生智齒拔除術視頻圖譜--渦輪鑽法(第2版/配增值)
臺中劉**[0968***672]
25分鐘前阻生智齒拔除術視頻圖譜--渦輪鑽法(第2版/配增值) - 阻生智齒拔除術視頻圖譜--渦輪鑽法(第2版/配增值)
嘉義劉**[0978***298]
半小時前阻生智齒拔除術視頻圖譜--渦輪鑽法(第2版/配增值) - 阻生智齒拔除術視頻圖譜--渦輪鑽法(第2版/配增值)
新北吳**[0938***198]
7分鐘前阻生智齒拔除術視頻圖譜--渦輪鑽法(第2版/配增值) - 阻生智齒拔除術視頻圖譜--渦輪鑽法(第2版/配增值)

NT$2000
2024新書推薦:阻生牙正畸與外科聯合治療策略

NT$4800
【口腔種植軟硬組織增量:自體組織移植技術】(全新正版,非影印版)

NT$3150
口腔頜面:【頭頸外科手術學】(第2版)

NT$3000
【兒童口腔醫學臨床策略原著】(第三版)

NT$2500
兒童牙病臨床病例解析 第2版

NT$2800
口腔激光治療新視界

NT$2280
微創牙齒美學修復學

NT$1967
口腔精萃系列--口腔種植工藝操作流程:分步驟操作指南

NT$2999
【兒童咬合誘導】+【兒童咬合發育管理 : 上齶形態、口腔機能與衰弱預防】

NT$2300
一步一步做好美學修復牙體預備+Step by Step:一步一步做好根管治療(圖譜)

NT$1880
牙體牙髓病病例精解

NT$1500
口腔正畸學精要

NT$3100
口腔種植規範化治療清單

NT$2600
可摘局部義齒設計與應用技術圖解

NT$2600
牙髓病最佳臨床操作指導

NT$1980
口腔局部麻醉精要

NT$2620
自體牙移植與再植技巧+拔牙技巧(全兩冊)

NT$5000
【口腔住院醫師專科科技圖解11卷】

NT$2600
6月新版【片岡繁夫牙齒形態學】

NT$3750
【中國口腔數位化】——從臨床科技到病例精選

NT$5000
【口腔正畸隱適美隱形矯治科技】

NT$3600
【重拾笑容——美學區複雜種植全域觀】

NT$3180
【口腔診所管理叢書】(全9册)

NT$12000
【膜齦美學手術精要】(精裝)

NT$3980
【無托槽隱形矯治科技精粹】(附帶方案類比視頻)

NT$1455
【可摘義齒口腔系列】

NT$2415
國際口腔種植學會(ITI)口腔種植臨床指南2-11卷+牙種植學SAC分類

NT$4600
【實用口腔正畸臨床技術圖譜】+【實用正畸弓絲彎制技術圖譜】+【實用蛤蟆弓應用技術圖譜】+【實用正畸弓絲臨床應用圖譜】

NT$2650
3D牙周美容手術圖譜:【天然牙篇】+【種植·橋體篇】(全新塑封兩册)

NT$1830
【新書推薦】短種植體與超短種植體/數字化牙科診療實踐/顯微外科牙髓病學/上頜竇骨移植技術:第3版(正版譯著)